티스토리 뷰

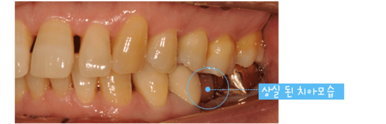
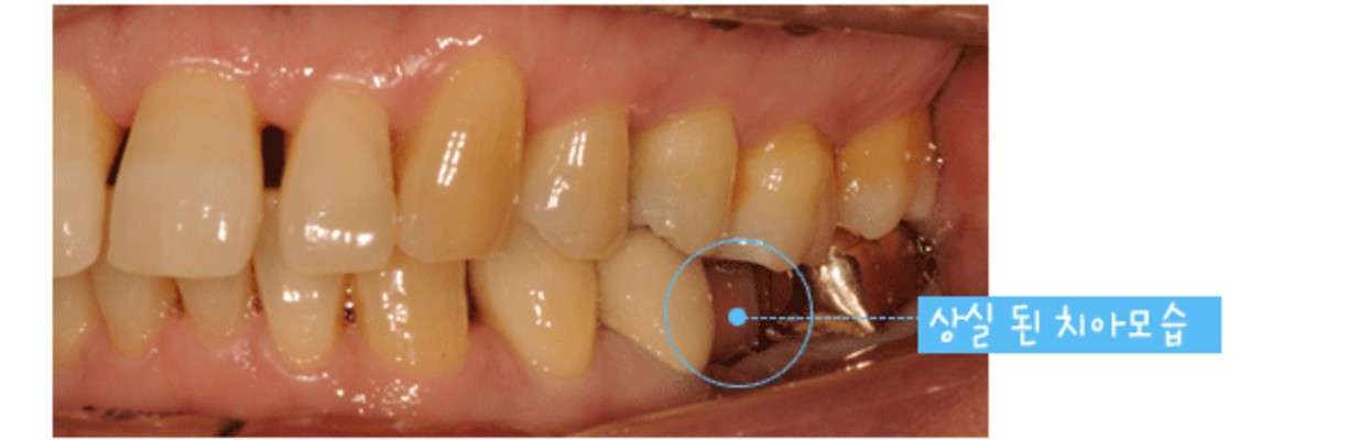
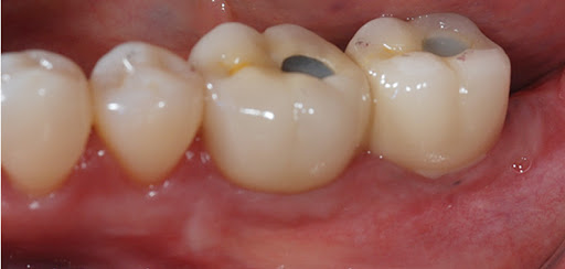
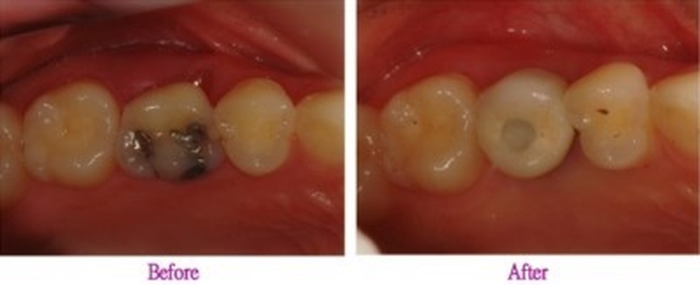
치아 중 어금니는 음식물을 섭취할 때 잘게 부수어 소화가 잘 되도록 돕는 치아입니다. 그러나 음식물을 섭취할 때 음식물 찌꺼기가 남거나 칫솔이 잘 닿지 않는 부위로 충치 발생이 잦은 부위이기도 한데요. 어금니는 충치가 생기기 쉬운 치아로 손실 및 상실로 인한 임플란트 관리를 많이 하는 부위이기도 합니다.
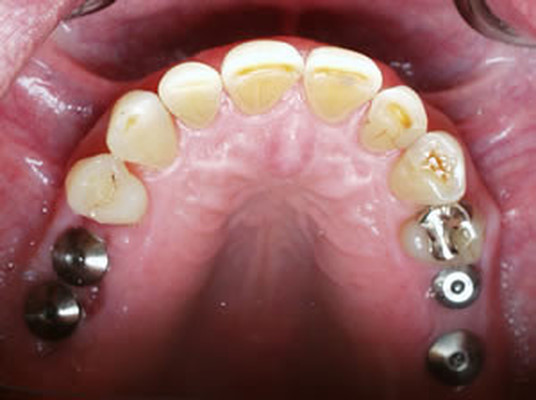
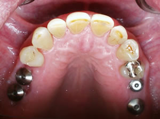
치주질병이나 잇몸 염이 자주 발생할 수 있어 잇몸 관리와 병행하는 사례도 많은 편이죠. 이처럼 어금니가 소실되면 정상적인 저작 기능이 힘들어 식사하는데 매우 큰 불편함을 느낄 수 있습니다. 이 경우 임플란트를 통해 자연 치아에 가까운 씹는 힘과 형태를 되찾을 수 있으며 저작 능력이 강조되는 어금니를 대체하는데 있어 어금니임플란트는 가장 효율적인 관리라고 볼 수 있습니다.
많은 분들이 어금니 임플란트 가격에 대해 궁금해 하십니다. 어금니 임플란트 꼭 비쌀 필요 없습니다. 저렴하게 할 수 있는 곳과 임플란트를 할 때 고려해야 할 것을 알아 보도록 하겠습니다.
어금니임플란트 대상, 이런 분들에게 반드시 필요합니다.

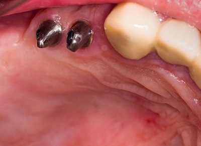
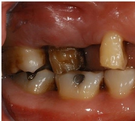
01 단단한 음식 등에 의해 어금니가 결손 되신 분
02 심하게 시행된 충치에 의해 치아를 발치 해야 하는 분
03 틀니를 더욱 튼튼하게 유지하고 싶으신 분
04 어금니의 저작 기능이 현저하게 떨어지신 분
05 부분 틀니 사용이 불편하신 분
06 브릿지 관리가 싫으신 분
07 선천적으로 어금니가 결손 되어 있으신 분
08 어금니가 없어 식사의 즐거움을 느끼지 못하시는 분

위의 내용 중 해당되는 부분이 있다면 정밀 검사를 받아본 후 어금니임플란트가 필요한지 파악하여 빠른 시일 내에 관리를 시작하시길 바랍니다.

임플란트 선생님이 가장 중요합니다.
무엇보다 어금니임플란트는 선생님의 실력이 가장 중요한데요, 풍부한 임상경험과 노하우가 겸비된 선생님이 상주하고 있는 곳에서 관리를 받으셔야 하며 어금니임플란트가격 또한 합리적인 곳을 택하셔서 만족스러운 결과를 얻어야 합니다.
내구성과 이물감을 덜어낼 수 있는 임플란트 식립 POINT
01 우수한 치아의 교합과 강도
치아의 정상적인 교합은 저작 능력을 높이며 치아의 불필요한 마찰을 줄여 치아가 갈리거나 수명이 줄어드는 것을 방지할 수 있습니다.
▶ 상악과 하악의 명확한 교합을 위해 적정한 각도로 임플란트를 식립하여 정교하고 강도 높은 보철 제작으로 실제 사용 시 불편함을 제거합니다.



02 임플란트의 강력한 골결합력
음식을 씹을 때 흔들리거나 이물감이 들지 않도록 임플란트가 뼈와 강하게 결합되는 것이 중요한데요. 이는 임플란트의 수명과 직결되는 요소로 친수성이 높은 칼슘 임플란트를 사용하여 임플란트와 치조골간 골 생성이 치밀하고 우수하여 강한 골 결합력을 유지하도록 해야 합니다.



오스템 임플란트 CA, BA 제품 및 오스템 A-Oss, 오스템 Ossguide를 통해 만족도 높은 결과를 확인하실 수 있습니다.
03 치아 주변 조직 손실 줄이기
치아의 신경통은 인간이 느끼는 고통 중 손에 꼽을 만큼 고통스럽습니다. 어금니 주변에는 다양한 신경들이 많이 있기 때문에 정밀하고 세밀한 관리로 신경뿐 아니라 주변 조직의 손실을 덜어내는 것이 중요합니다.
▶ 3D CT를 통한 정밀 검사와 리뷰로 관리 계획을 세우고 관리하여 관리 시 손실이나 응급 사태에 대한 우려 없이 만족적인 임플란트 관리가 가능합니다. 뿐만 아니라 조직 손실이 매우 적어 복원과 재활이 매우 빠릅니다.

오차 없는 식립을 위한 ‘네비게이션 원리 임플란트’
기존 임플란트 방식인 절제가 아닌 무절제 (미세 절제)를 활용하여 출혈이나 부기의 우려가 적으며 염의 가능성이 크지 않아 빠른 일상 복원이 가능한 네비게이션 원리 임플란트는 관리 전 컴퓨터로 가상 관리를 시행하여 임플란트 위치를 결정해 미리 심어볼 수 있는 가이드 입니다.

임플란트의 안정성과 식립률을 높일 수 있는 방법이며 당뇨, 고혈압, 아픔에 대한 두려움을 가지고 있는 분들도 부담 없이 임플란트 심기가 가능합니다.
또한 네비게이션 원리 임플란트를 활용한 1DAY 임플란트를 통해 내원 당일 면담부터 임시 보철 식립까지 한 번에 받아보실 수 있으며 3회 내원으로 관리를 마칠 수 있습니다. (단, 잇몸 뼈가 건강한 분들에 한해 가능)


합리적인 어금니임플란트가격, 좋은 보철을 사용합니다.
모든 임플란트 관리 상시 분납이 가능하며 지르코니아 보철 포함 오스템 임플란트 100만원 미만 -> xx만원 가격에 임플란트를 만나보실 수 있는 곳입니다.

가격에 대한 고민이 있는 분들도 부담 없이 관리를 받아 오랫동안 구강 건강 지켜 가실 수 있습니다.